Smoczek...
Odkąd jestem logopedą. Boleję nad widokiem dzieci ze smoczkiem w buzi. Śpiące w wózkach, bawiące się na plaży, w parku, na placu zabaw, w galeriach handlowych. Czy to źle czy dobrze? Spróbuję w tym artykule co nieco przybliżyć kwestię konsekwencji ssania smoczka lub kciuka.
Człowiek przychodzi na świat z umiejętnością i potrzebą ssania, która wykształca się w życiu prenatalnym. Maluch już ok 2, 3 miesiąca życia płodowego zaczyna wkładać do buzi palec ( najczęściej kciuk) i go ssać.
Do czego potrzebne jest człowiekowi ssanie?
Ssanie jest przede wszystkim działaniem mającym na celu zdobycie pokarmu, jakim jest mleko matki ( tzw. ssanie odżywcze ). Ruchy szczęki i żuchwy oraz nacisk języka na sutek powodują napięcie mięśni artykulacyjnych, dzięki czemu podczas jedzenia dziecko przy okazji rozwija aparat mowy.
Istnieje jeszcze jeden rodzaj ssania, tzw. ssanie nieodżywcze, które nie powoduje zaspokojenia głodu, a potrzeb emocjonalnych; przede wszystkim zapewnia maluchowi poczucie bezpieczeństwa lub jest lekarstwem na nudę. Dziecko przyzwyczajone do ssania kciuka w łonie matki, po przyjściu na świat sięga po ten sam, znany mu i sprawdzony sposób.
Czy zastanawiałaś się, w jakich sytuacjach Twoje dziecko najbardziej domaga się mocia?
Najczęstsze odpowiedzi ankietowanych rodziców to: w chwili płaczu, smutku, podczas zasypiania, zmęczenia lub nudy (np. na spacerze w wózku ).
A co spowodowało, że podałaś dziecku smoczek po raz pierwszy?
Czy była to spontaniczna decyzja, potrzeba chwili, bez zastanowienia sięgnęłaś po środek znany od lat? Czy może rodzina na Tobie wymusiła ( mama, teściowa)? Czy przeciwnie, była to decyzja przemyślana, bo wcześniej poznałaś już jej konsekwencje, lecz nie do końca w nie uwierzyłaś? Lub wynikała z bezradności i mimo świadomości skutków, nie miałaś wyboru ( dziecko „wisiało na piersi” przez cały dzień )?
Często spotykam się z takimi opiniami i doskonale je rozumiem, bowiem teoria nie musi się zgadzać w 100 % i w każdym przypadku. Moje osobiste dzieci były tak różne, że starszy syn ssał niemal dwa smoczki jednoczenie ( nie byłam jeszcze wówczas logopedą😊), a młodszy w ogóle nie chciał smoczka, mimo tego ma wadę zgryzu i wymowy. To, czy dziecko będzie miało wadę zygu i wymowy jest uzależnione od wielu czynników ( również genetycznych) i nie na wszystko mamy wpływ, choć jeśli możemy czemuś zapobiec, to uważam, że lepiej to zrobić.
Konsekwencje ssania kciuka
Skutków tej aktywności jest wiele, ja skupiam się przede wszystkim na aspekcie logopedycznym, czyli na wpływie ssania nieodżywczego na późniejszy proces rozwoju mowy i artykulacji głosek.
Gdy nasz malec sięga po paluszek, który jest zawsze „ pod reką”, należy się przyjrzeć przede wszystkim, w jakich sytuacjach to robi. Czy jest to działanie krótkotrwałe, np. do uspokojenia emocji, płaczu, czy może długotrwałe, które zmienia się w nawyk.
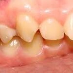
Konsekwencją ssania kciuka w nadmiernej ilości jest przede wszystkim deformacja jamy ustnej i zgryzu. Poprzez ruchy języka pionowe i ukośne wychylają się zęby górne i spłaszcza się wyrostek zębodołowy, zmniejsza się ciśnienie w jamie ustnej, co w późniejszym czasie prowadzi do wad zgryzu- podniebienia gotyckiego, tyłozgryzu, zgryzu krzyżowego, otwartego oraz protruzji.
Smoczek- przyjaciel czy wróg?
Niestety, ssanie smoczka powoduje te same skutki, co ssanie kciuka. Jest rodzajem parafunkcji (czyli czynności niepotrzebnej, a stającej się nawykiem ), która zaburza rozwój aparatu mowy.
Jednak są pewne sytuacje, w których mniejszym złem będzie ssanie smoczka.
Kiedy smoczek jest mniejszym złem?
Odpowiedź jest prosta- gdy dziecko ssie palec ! Od smoczka łatwiej się uwolnić niż od własnego kciuka J. Jednak dobrze jest używać smoczek wyłącznie w sytuacjach awaryjnych, np.:
• jazda samochodem ( jeśli dziecko płacze i się denerwuje, ważniejsze jest bezpieczeństwo wszystkich pasażerów auta)
• ząbkowanie ( smoczek może pomóc przez chwilę znieść ból dziąseł, drażnienie dziąseł może nieco złagodzić swędzenie, choć zdecydowanie lepszy jest gryzak )
• choroba, szpital ( to sytuacja wyjątkowa, dziecko musi czuć się bezpiecznie, w czym ssanie smoczka może pomóc, ale trzeba pamiętać o umiarze)
• wyjątkowo trudna sytuacja emocjonalna ( np. nagła choroba mamy, wyjazd, nocleg u osób trzecich, itp., jeśli inne metody uspokojenia zawiodą, np. noszenie w chuście, przytulenie lub odwrócenie uwagi od potrzeby ssania ).
Decydując się na podanie dziecku smoczka, należy pamiętać, że:
- nie wolno dziecka zmuszać do korzystania ze smoczka i wkładać na siłę do jego buzi ( czasami mamy lub babcie nie wyobrażają sobie dzieciństwa potomka bez smoczka i nawet, gdy dziecko nim pluje lub ma odruch wymiotny, podają smoczek i czekają, aż maluch go „zassie”
- smoczek powinien być używany wyłącznie krótkoterminowo, np. chwili usypiania dziecka, na kilka minut ( gdy zaśnie natychmiast powinien być wyciągnięty z buzi)
- u dzieci karmionych piersią nie powinno się podawać smoczka do ukończenia czterech tygodni życia ( może to spowodować obniżoną laktację i zmniejszony apetyt dziecka)
- smoczka nie należy podawać w celu opóźnienia podania pokarmu ( próba oszukania malucha może zakończyć się rozdrażnieniem i zwiększeniem poczucia głodu)
- nie wolno smoczka przyczepiać sznurkami do rączki, szyi lub łóżeczka (aby dziecku nie ułatwiać dostępu do niego 24/7 oraz ze względów bezpieczeństwa- możliwości uduszenia)
- smoczka nie wolno maczać w napojach lub lekach, ani nie wolno go oblizywać przed podaniem dziecku! ( bakterie próchnicotwórcze Lactobacillus acidophilus i Streptococcus mutans tworzące płytkę nazębną mogą przedostać się z jamy ustnej matki do dziecka)
- smoczki należy często czyścić, sterylizować i wymieniać co 2-3 miesiące
- smoczek musi mieć tarczę większą niż usta dziecka oraz dziurki wentylacyjne
- smoczek powinien być z antyalergicznego materiału i w odpowiednim kształcie
• smoczek powinien być używany wyłącznie krótkoterminowo, np. chwili usypiania dziecka, na kilka minut ( gdy zaśnie natychmiast powinien być wyciągnięty z buzi)
• u dzieci karmionych piersią nie powinno się podawać smoczka do ukończenia czterech tygodni życia ( może to spowodować obniżoną laktację i zmniejszony apetyt dziecka)
• smoczka nie należy podawać w celu opóźnienia podania pokarmu ( próba oszukania malucha może zakończyć się rozdrażnieniem i zwiększeniem poczucia głodu)
• nie wolno smoczka przyczepiać sznurkami do rączki, szyi lub łóżeczka (aby dziecku nie ułatwiać dostępu do niego 24/7 oraz ze względów bezpieczeństwa- możliwości uduszenia)
• smoczka nie wolno maczać w napojach lub lekach, ani nie wolno go oblizywać przed podaniem dziecku! ( bakterie próchnicotwórcze Lactobacillus acidophilus i Streptococcus mutans tworzące płytkę nazębną mogą przedostać się z jamy ustnej matki do dziecka)
• smoczki należy często czyścić, sterylizować i wymieniać co 2-3 miesiące
• smoczek musi mieć tarczę większą niż usta dziecka oraz dziurki wentylacyjne
• smoczek powinien być z antyalergicznego materiału i w odpowiednim kształcie
Co najważniejsze- smoczek powinno się odstawić, gdy dziecko kończy 12-18 miesięcy!
Wady wymowy spowodowane ssaniem smoczka.
Warto wiedzieć, że odruch ssania tak silny u noworodka i niemowlaka stopniowo słabnie ( po 6. miesiącu życia), a w późniejszym okresie całkiem zanika, wypierany przez potrzebę gryzienia i żucia.
W tym czasie zaczynają się pojawiać pierwsze ząbki, zmienia się ułożenie warg, języka oraz sposób połykania ( z infantylnego na dojrzałe). Rosną i wzmacniają się mięśnie artykulacyjne ( np. mięsień okrężny ust ), których prawidłowa praca jest niezbędna zarówno w czasie jedzenia, jak i w procesie artykulacji. Zatem nie należy sztucznie podtrzymywać odruchu ssania (przez podawanie dziecku smoczka dla uspokojenia go bądź jako lekarstwa na nudę! ). Lepiej zamienić smoczek na gryzak lub u starszych dzieci na marchewkę J !
Gdy przegapiliśmy moment odstawienia smoczka lub podjęte próby się nie udały i dziecko 2,3 letnie uparcie nie chce rozstać się z dydkiem ( a tłumaczenie mu konsekwencji jest jak fizyka kwantowa), można liczyć się z tym, że dziecko będzie regularnie odwiedzać gabinet logopedy.
Konsekwencją długotrwałego ssania smoczka lub kciuka jest :
- utrwalenie niemowlęcego tzw. infantylnego sposobu połykania ( język leży płasko na dnie jamy ustnej i wykonuje ruchy przód- tył, a powinien się pionizować i układać za górnymi zębami ).
- zmniejszenie się napięcia mięśni warg, co w późniejszym okresie utrudnia wymowę głosek wargowo- zębowych p, b, m, w, f
- znaczne obniżenie się sprawności języka ( rozleniwienie ), dziecko ma problemy z pionizacją go i realizacją głosek szeregu ciszącego- ś, ź, ć, dź, szumiącego- sz, ż, cz, dż, oraz l, r
- szczęka i żuchwa nie stykają się w przednim odcinku łuku zębowego ( siekacze, dwójki ) -powstaje szczelina, tworząca gryz otwarty
- język ma tendencję do wsuwania się między zęby- powstaje seplenienie międzyzębowe, dość często spotykane u dzieci. Zaburzona jest wówczas realizacja wielu głosek, np. s, z, c, dz, sz, ż, cz, dż, a czasem także t, d, n
Wady wymowy spowodowane ssaniem nieodżywczym są w większości przypadków „ uleczalne” i dzięki korekcie zgryzu ( niezbędny jest aparat ortodontyczny ) i po terapii logopedycznej, trwającej około roku lub dwóch, dziecko powinno realizować głoski prawidłowo.





